정의
식도암이란 식도에 생긴 암을 말합니다. 식도암은 주로 60대 이상의 남자에게서 많이 발생하며, 술, 담배와 밀접한 관련이 있습니다.
종류
식도암은 위치에 따라서 경부식도암, 흉부식도암, 위-식도 연결부위 암으로 나눌 수 있으며, 암의 조직형에 따라 편평상피세포암, 선암, 평활근 육종, 횡문근 육종, 림프종, 흑색종 등으로 나눌 수 있습니다. 우리나라를 비롯한 동아시아 국가들에서는 편평상피세포암이 많으며, 북아메리카나 유럽지역에서는 선암의 발생빈도가 높습니다.
발생부위
식도는 인두와 위를 연결하는 기관으로 우리가 음식물을 섭취할 때 음식물이 위장으로 넘어가는 통로로서 관과 같은 구조로 되어 있습니다. 식도의 길이는 약 24cm~33cm 정도이고, 너비는 2~3cm 이며, 식도 벽의 두께는 약 4mm 정도입니다.
식도의 벽은 점막층, 점막하층, 근육층으로 이루어져 있으며, 위치에 따라 경부식도, 흉부식도, 복강내 식도로 나눕니다.

식도의 위치
식도는 흉강 내에서 척추의 앞쪽, 기관과 심장의 뒤쪽, 대동맥의 옆쪽, 양쪽 폐의 사이에 위치하고 있습니다. 식도는 인두에서 삼킨 음식물을 연하운동 및 연동운동으로 위장으로 내려 보내는 기능이 있으며, 식도와 위 사이에는 괄약근이 있어 위로 내려간 음식물이 식도로 다시 역류하는 것을 방지하는 기능이 있습니다.
대부분의 복강내 장기는 장막이라고 불리는 막이 장기의 외벽을 둘러싸고 있으나 식도에는 장막이 없어 암이 발생하는 경우 비교적 쉽게 식도의 외벽을 뚫고 주위 장기를 침범할 수 있습니다. 또한 식도의 점막하층에는 림프관과 혈관이 풍부하게 분포되어 있어 암세포가 림프관이나 혈관을 타고 식도주위의 림프절로 전이되거나 원격전이가 되기 쉽습니다.
식도의 벽은 쉽게 늘어나는 성질이 있어 암이 발생하더라도 식도협착에 의한 증세, 즉 연하곤란이나 연하통 등의 증상이 늦게 나타나서 진단이 늦어질 수 있으며, 진단 당시에 이미 암이 진행된 경우가 많습니다.
식도의 주위에는 심장, 기관지, 폐, 대동맥 등의 중요한 장기들이 많고, 식도 자체가 목, 가슴 배에 걸쳐 있으며, 식도 절제시 식도의 대체 장기로 복부의 소화관인 위장, 소장(공장), 또는 대장을 이용하기 때문에 수술의 범위가 넓고 수술에 따르는 위험성이 큽니다.
식도의 위치와 구조 영상
출처: 국가암정보센터 암정보관련통계
2022년에 발표된 중앙암등록본부 자료에 의하면 2020년에 우리나라에서는 247,952건의 암이 새로이 발생했는데, 그 중 식도암(C15)은 남녀를 합쳐서 2,748건으로 전체 암 발생의 1.1%를 차지했습니다. 인구 10만 명당 조(粗)발생률(해당 관찰 기간 중 대상 인구 집단에서 새롭게 발생한 환자 수. 조사망률도 산출 기준이 동일)은 5.4건입니다.
남녀의 성비는 8.3 : 1로 남자에게 더 많이 발생했습니다. 발생 건수는 남자가 2,451건, 여자는 297건이었습니다. 남녀를 합쳐서 연령대별로 보면 60대가 37.5%로 가장 많았고, 70대가 27.6%, 50대가 17.9%의 순이었습니다.
조직학적으로는 2020년의 식도암 전체 발생 건수 2,748건 가운데 암종(carcinoma)이 97.1%를 차지했습니다. 암종 중에서는 편평상피세포암이 91.4%로 가장 많았고, 그 다음으로 선암이 3.1%를 차지했습니다.
(암종이란 암의 거의 전부를 차지하는 유형으로 표피나 점막, 샘 조직 같은 상피조직에서 생기는 악성 종양을, 육종은 비상피성 조직에서 발생하는 악성 종양을 이릅니다. ‘암종’과 ‘암’은 본디 같은 말이나, ‘암’의 경우엔 육종까지 포함하는 넓은 의미로 쓰입니다.)
식도암의 조직학적 형태에 따른 발생 빈도, 2020년 식도암 발생 건수 전체
식도암의 조직학적 형태에 따른 발생 빈도, 2020년 식도암 발생 건수 전체조직학적형태(Histological group)발생자수(cases)%총계2,748100.0| 1. 암종 (Carcinoma) | 2,667 | 97.1 |
| 1.1 편평상피세포암 (Squamous cell carcinoma) | 2,512 | 91.4 |
| 1.2 선암 (Adenocarcinoma) | 85 | 3.1 |
| 1.3 기타 명시된 암 (Other specified carcinoma) | 42 | 1.5 |
| 1.4 상세 불명암 (Unspecified carcinoma) | 28 | 1.0 |
| 2. 육종 (Sarcoma) | 1 | 0.0 |
| 3. 기타 명시된 악성 신생물 (Other specified cancer) | 14 | 0.5 |
| 4. 상세 불명의 악성 신생물 (Unspecified cancer)* | 66 | 2.4 |
(보건복지부 중앙암등록본부 2022년 12월 발표 자료)
위험요인
· 개요
식도암은 식도에서 발생한 암으로서 식도의 점막, 점막하층, 근육층 등에서 발생할 수 있으며, 편평상피세포암, 선암, 평활근 육종, 횡문근 육종, 림프종, 흑색종 등 여러 가지의 암이 발생할 수 있습니다. 우리나라에서는 편평상피세포암이 전체 식도암의 95% 이상을 차지하고 있으며, 유럽이나 미국의 경우에는 선암의 발생률이 점차 증가하고 있습니다. 식도암의 정확한 발병 원인은 알려져 있지 않습니다. 하지만 다른 여러 고형암과 마찬가지로 유전적 요인과 환경적 요인의 영향을 받는 여러 단계의 과정을 거쳐 발생할 것으로 생각됩니다.
편평상피세포암의 경우에는 흡연과 술의 섭취와 밀접한 관계가 있으며, 이외에도 식습관, 문화적 습관, 영양결핍 그리고 발암성 유두종 바이러스 등과도 관계가 있습니다. 선암의 경우에는 위식도 역류와 관련이 깊습니다. 위식도 역류는 위산이 식도로 역류하는 질환으로 장기적으로 식도점막에 손상을 일으켜 식도염이 발생하게 되어, 세포의 증식을 촉진시키고 원주 세포 화생(columnar metaplasia)이 일어나게 되는데, 이것을 바렛 식도라고 합니다. 이 바렛 식도는 식도암의 전암성 병변으로 정상인에 비해 식도암의 발병위험이 약 30~40배 증가합니다.
· 연령
식도암이 호발하는 지역에서는 비교적 젊은 나이에도 많이 발생하지만 우리나라에서 식도암은 젊은 나이에는 드물고, 나이에 따라 점차 증가하며, 60~70대에 주로 발병합니다. 남성에게 주로 많이 발생되며 암종의 종류 및 지역에 따라 성비에는 차이가 있습니다. 우리나라에서는 편평상피세포암이 대부분이며, 남녀의 성비는 전술한 대로 13 : 1 정도입니다. 인종과 지역에 따라 식도암의 발생률에 큰 차이가 있으며, 식도암이 많이 발생하는 지역은 아래 그림과 같습니다.

식도암이 많이 발생하는 지역
· 음주
식도암 중에 특히 편평상피세포암의 경우에는 술과 밀접한 관련을 가지고 있으며, 독주와 과음이 식도암의 원인이 될 수 있습니다.
흡연의 경우에도 식도암이 발생할 가능성을 약 5~6배 정도 증가시킵니다. 특히 음주와 흡연을 같이하는 경우에는 음주와 흡연이 암의 발생이 서로 상승작용을 하게 되어 식도암의 위험성이 매우 높아집니다.
· 식습관
식도암이 많이 발생하는 지역에 대한 조사에 의하면 탄수화물이 많고, 동물성 단백질, 채소, 과일 등이 부족한 식생활을 하는 사람들에서 식도암이 많이 발생하는 것으로 알려져 있습니다. 비타민 A, C, E, 나이아신 등이 부족해도 식도암이 발생할 가능성이 커지는 것으로 알려져 있습니다.
불에 탄 음식에 들어 있는 니트로사민과 같은 발암물질도 식도암을 유발하는 것으로 알려져 있습니다.
· 전암성 병변
여러 종류의 식도질환이 식도암의 발생과 연관되어 있는 것으로 알려져 있습니다. 그중에는 철분이나 비타민이 부족하여 구강이나 인두, 식도의 점막에 위축이 오는 플러머-빈슨 증후군(Plummer-Vinson syndrome), 장기적인 위-식도 역류에 의해 위-식도 접합부의 직상부 식도 점막에 장형 점막으로의 변화를 보이는 바렛 식도, 식도 협착, 식도이완불능증, 식도 게실 등의 질환이 있습니다. 이 질환이 있다고 해서 모두 식도암이 발병하는 것은 아니나 정기적인 추적관찰이 필요합니다.
예방법
식도암을 예방하기 위해서는 앞서 언급한 식도암의 위험인자를 없애는 것이 중요합니다. 즉 우리나라의 경우 술을 절제하고, 담배를 끊고, 균형 잡힌 식생활을 하며, 탄 음식이나 가공된 햄이나 소시지 같은 질산염이 많이 포함된 음식을 피하는 것이 필요합니다. 만약 위-식도 역류나 바렛 식도와 같은 질환으로 진단 받았다면 적절한 치료를 받고 정기적으로 검사를 해 보는 것이 식도암의 예방 및 조기 발견에 큰 도움이 되겠습니다.
조기검진
식도암의 검진 방법으로는 식도 내시경 및 초음파 내시경이 최선의 방법입니다. 흡연이나 음주를 많이 하신 55세 이후의 분들은 최소한 1년에 한번 이상은 내시경을 해보는 것이 좋습니다.
일반적증상
식도는 음식이 지나가는 통로이므로 식도암의 증상은 주로 음식을 삼키기 어렵거나 삼킬 때 발생하는 통증이 주가 됩니다. 하지만 식도는 잘 늘어나는 성질을 가지고 있어 작은 식도암의 경우에는 특별한 증상이 없을 수 있습니다.
증상이 발현된 경우에는 이미 상당히 진행된 경우가 많습니다. 크기가 작은 초기 식도암의 경우에는 아무런 증상이 없는 경우가 많고, 주로 건강 검진 시에 시행하는 내시경 등의 검사에서 우연히 발견되는 경우가 많습니다.
식도암이 점차 진행하여 식도내강이 좁아짐에 따라 연하곤란 즉 음식을 삼키기 어려운 증상이 나타나며 이는 처음에는 고기나 깍두기 같은 고형음식에서부터 시작하여 나중에는 죽이나 미음, 물을 삼키기 어렵게 됩니다. 또는 크기가 큰 음식을 먹을 때 걸리는 느낌이 나거나 앞가슴이나 등쪽에 통증을 느낄 수도 있습니다. 이에 따라 식사하기 불편해지고 식사량도 자연적으로 줄게 되어 심한 체중감소와 영양실조가 동반될 수 있습니다.
식도암이 식도의 내강을 거의 막아서 음식물이 아래로 내려가지 못하게 되면 식사 후에 먹었던 음식물이 다시 입으로 올라오는 증상이 있을 수 있으며, 이와 동반하여 입으로 올라온 음식물이 기도로 흡인되어 기침이나 흡인성 폐렴 등의 증상이 발생할 수 있습니다.
식도암이 진행함에 따라 식도내강을 좁히는 것 외에도 식도주변의 기관(organ)에 암이 침윤함에 따라 여러 가지 증상이 발현될 수 있습니다. 식도암이 목소리를 내는 성대를 지배하는 되돌이후두신경을 침범하게 되면 성대 마비가 생겨 목이 쉬게 되며 이에 따라 음식물의 흡인이 자주 일어나게 됩니다. 식도 바로 뒤의 척추를 침범하면 등쪽에 통증이 올 수 있고, 기관(trachea)을 침범하면 기침, 객혈등의 증상이 생기게 됩니다.
진단방법
· 식도조영술

식도암에서 식도조영술
식도조영술은 엑스레이에 비투과성을 가진 물질일 조영제를 입으로 마신 후 조영제가 식도 점막에 묻어 있는 모양을 투시촬영을 통해서 관찰하는 검사법으로 식도점막의 변화를 관찰함으로써 식도암의 모양, 크기, 위치 등을 평가하고 주위 기관과의 관계를 알 수 있습니다.
· 식도내시경

식도암에서 식도내시경
식도내시경검사는 입을 통하여 내시경을 식도와 위로 삽입하여 식도나 위의 이상유무를 판단하는 검사입니다. 사진에서 보는 바와 같이 내시경을 통하여 식도암을 직접 관찰하면서 식도암의 위치나 크기, 모양 등을 평가하며 조직검사를 시행하고, 색소를 이용하여 정상 점막만을 염색하여 다발성 병변의 유무를 진단할 수 있습니다. 그리고 식도내시경검사는 식도암의 원위부 즉 식도암보다 아래의 식도와 위에 대해서도 검사를 시행하여 이상유무를 판단하여 치료계획에 도움을 줍니다. 또한 식도내시경검사는 수술 후 식도협착이 있는 환자나 수술이 불가능한 환자의 경우에 풍선확장술이나 스텐트 삽입에도 이용될 수 있습니다.
· 식도초음파 내시경

식도암에서 식도초음파 내시경
위에서 말한 일반적인 식도내시경의 경우에는 식도내강의 표면만을 관찰하도록 되어있어 암이 얼마나 깊이 파고 들어 갔는지는 알기 어려운 단점이 있습니다. 흉부 전산화단층촬영 등의 방법도 있지만 정확한 깊이는 알기 어렵습니다. 초음파 내시경검사는 식도내에 초음파기기를 삽입하여 식도벽을 통해 검사를 시행하므로 식도암의 침범 정도에 대해 세밀하게 알 수 있습니다. 뿐만 아니라 식도암이 대동맥이나 척추, 기관 같은 식도 주변의 기관으로의 침범여부도 정확히 알 수 있으며, 암의 식도 주변의 림프절 침범여부도 비교적 정확히 알 수 있으며, 식도를 통하여 조직검사를 할 수 도 있습니다.
· 기관지내시경

식도암에서 기관지내시경
기관지 내시경은 숨을 쉬는 기관지내부를 검사하는 것으로 식도 내시경과는 다릅니다. 특히 중 상부 식도암의 경우에는 뒤쪽에서부터 기관 및 기관지를 침범하는 경우가 있으며, 또 식도에 암이 있는 환자의 경우에 후두나 기관 또는 기관지에 암이 동반될 가능성이 있기 때문에 수술 전에는 꼭 기관지내시경 검사를 시행하여 침범여부를 확인하는 것이 좋습니다.
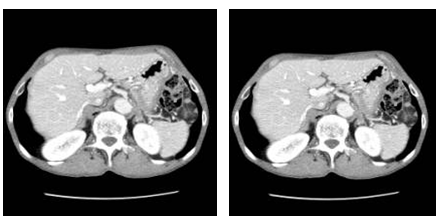
· 흉부 및 복부전산화단층촬영

식도암에서 흉부 및 복부 전산화 단층촬영
전산화단층촬영(CT)은 X-선을 우리 몸에 투과 시킨 후 얻어진 신호를 컴퓨터로 계산하여 신체의 단면을 영상으로 나타내는 검사입니다. 식도암에서는 흉부 및 복부 전산화단층촬영(CT)을 시행함으로써 식도암의 위치와 주위 조직으로의 침범 여부, 흉강 및 복강 내 림프절 전이의 판정(수술 전 병기 결정), 흉강 및 복강내의 원격 전이(림프절이 아닌 신체기관에의 전이) 판정 등에 이용되며, 식도암 이외에 동반된 흉부 및 복부질환의 진단에도 도움이 되며, 수술 후의 합병증을 확인하거나 항암화학요법의 반응 정도를 확인하는 데에도 많이 쓰입니다.
· 전신 뼈 스캔

식도암에서 전신 뼈 스캔
식도암은 뼈로도 쉽게 전이가 됩니다. 전신 뼈 스캔은 식도암의 뼈 전이를 진단하기 위해 하는 검사입니다.
· 양전자방출단층촬영(PET/CT)

식도암에서 PET 스캔 (PET/CT)
양전자방출단층촬영(PET)은 현재까지 나와 있는 암 검사법 중에 가장 민감하다고 알려져 있습니다. 기존의 검사법에서 밝혀지지 않은 원격 전이의 진단이나 림프절 전이 여부의 판정에 유용합니다.
양전자방출단층촬영(PET/CT)검사는 양전자방출단층촬영(PET)이라는 검사와 전산화단층촬영(CT)을 기계적으로 결합한 검사로서 기존의 양전자방출단층촬영(PET)이나 전산화단층촬영(CT)보다는 진단률이 높으며 암이 전이된 부위의 해부학적 위치를 정확하게 판단할 수 있습니다.
· 흉강경 및 복강경
흉강경이나 복강경은 진단을 목적으로 하는 수술을 말하는 것으로 흉강경은 가슴속에 그리고 복강경은 뱃속의 이상을 알아 보기 위해 전신 마취 하에서 가슴 또는 복부에 몇 개의 구멍을 내고 내시경 및 수술 기구를 삽입하여 진단 또는 치료를 하는 방법입니다. 식도암의 진단에 있어서 다른 방법으로 확인이 되지 않는 림프절이 있거나 수술적 절제 여부가 불확실할 때 사용되고 있습니다.
진행단계
식도암은 먼저 식도 내시경을 통한 조직검사 결과 식도암으로 진단되면 앞에서 열거한 여러 가지 검사를 토대로 병기를 결정하게 됩니다. 병기를 결정하는 첫번째 이유는 암으로 진단된 이후의 암의 진행과정 즉 예후를 예측하는 목적이 있으며, 두번째 이유는 병기에 따라 가장 적합한 치료방침을 결정하기 위함입니다.
식도암의 병기는 크게 원발종양(T), 국소 림프절전이(N), 원격전이(M)라는 세가지 요소를 가지고 진단하게 됩니다. T는 원발종양이 얼마나 식도벽을 많이 침범하였는지 또는 식도주위의 구조물을 침범했는 지로 결정하고, N은 미리 정의된 국소 림프절의 침범유무 및 개수로, M은 원격 전이의 유무로 판단하게 됩니다.
원발 종양(T) 은 아래와 같이 분류합니다.

식도암 병기
식도암의 병기
식도암의 병기원발종양(T)국소 림프절전이(N)원격전이(M)| Tis | 상피내 암종 |
| T1 | 점막층이나 점막하층까지 침범 |
| T2 | 근육층까지 침범 |
| T3 | 외막까지 침범 |
| T4 | 주위 구조물을 침범 |
| N0 | 국소 림프절에 전이가 없는 경우 |
| N1 | 국소 림프절에 전이가 있는 경우 |
| M0 | 원격전이가 없는 경우 |
| M1a | 원격전이가 있는 경우(본문 설명 참조) |
| M1b | 원격전이가 있는 경우(본문 설명 참조) |
식도암 1기는 암이 식도 점막에만 국한되고 국소 림프절이나 원격전이가 없는 것을 말합니다. 식도암 2A기는 근육층이나 외막까지 침범되었으나 국소 림프절이나 원격전이가 없는 것을 말합니다. 식도암 2B기는 점막이나 근육층까지 침범하고 국소 림프절에 전이가 2개 이하로 있는 경우를 말합니다. 식도주위의 구조물까지 침범하였거나 식도외막을 침범하고 국소 림프절에 전이가 7개 이상 있는 경우까지 3기에 해당합니다.
그 외 원격전이가 있는 경우에는 4기에 해당하게 됩니다.

식도암의 병기
감별진단
많은 식도암 환자들이 겪는 증상은 주로 음식을 삼키기 힘든 증상 즉 연하곤란입니다. 연하곤란은 매우 다양한 질환에서 나타날 수 있습니다. 연하곤란은 크게 두가지로 분류할 수 있는데 그 첫번째는 입인두의 이상에 의한 연하곤란이며 두번째가 식도에 의한 연하곤란입니다.
입인두에 의한 연하곤란은 주로 신경근육계의 질환과 자주 동반됩니다. 뇌졸중이나 파킨슨 병 등과 같은 신경계 질환이 원인일 경우가 많으며 이 경우에는 환자가 호소하는 여러 가지 동반증상으로 진단이 가능합니다. 그 이외에도 입인두내에 종양, 게실, 인두주위의 구조적인 이상으로 인해서 연하곤란이 발생할 수 있으며, 이 경우에는 인후두경 검사, 식도내시경 검사등으로 진단이 가능합니다.
식도에 의한 연하곤란의 원인으로는 식도이완불능증, 확산식도연축, 경피증과 같은 질환이 있거나 종양, 협착 등의 원인이 있을 수 있습니다. 이러한 식도에 의한 연하곤란의 경우에는 식도내시경, 식도조영술, 흉부 전산화단층촬영(CT)등의 검사가 감별진단에 도움이 될 수 있습니다.
| Oropharyngeal dysphagia (구강인후성 연하곤란) Neuromuscular disease (신경근육 질환) Diseases of the central nervous system (중추신경계의 질병) Cerebrovascular accident (뇌혈관 장애) Parkinson's disease (파킨슨병) Brain stem tumors (뇌간종양) Degenerative diseases (퇴행성 질환) Obstructive lesions (폐색성 병변들) Tumors (종양) Inflammatory masses (염증성 덩어리) Trauma/surgical resection (외상/외과 절제) Zenker's diverticulum (젠커(인두하부식도) 게실) Esophageal webs (식도막) Extrinsic structural lesions (외인성 조직 손상) Anterior mediastinal masses (전방종격동덩어리) Cervical spondylosis (경추 척추증) |
Esophageal dysphagia (식도성 연하곤란) Neuromuscular disorders (신경근육 장애) Achalasia (이완불능증) Spastic motor disorders (경련성 운동 장애) Scleroderma (피부경화증) Obstructive lesions (폐색성 병변들) Intrinsic structural lesions (내인성 조직 손상) Tumors (종양) Strictures (협착) Foreign bodies (이물) Extrinsic structural lesions (외인성 조직 손상) Vascular compression (혈관 압박) Mediastinal masses (종격동 덩어리) Lymphadenopathy (림프절 종대) |
치료방법
· 개요
앞 절에서 설명한 여러 가지 검사를 시행한 후검사의 결과들을 종합하여 현재의 환자 상태에 따라 치료방침을 결정하게 됩니다. 현재 식도암을 치료하는 방법은 크게 수술, 방사선요법, 항암화학요법 등이 있습니다. 식도암의 경우에는 수술적 제거가 치료의 주축이라 할 수 있습니다. 일반적으로 원격전이가 없고,병변의 수술적 절제가 가능하며, 환자의 전신 상태가 수술이 가능한 상태라면 수술을 해서 암을 제거하고 위나 대장 등을 이용하여 식도 재건 수술을 시행하고 있습니다. 상당히 진행된 암의 경우에는 먼저 항암화학요법-방사선 치료를 같이 시행하는 복합치료를 시행하거나 항암치료나 방사선 치료를 시행한 후에 수술을 시행하기도 합니다. 원격전이가 있는 경우에는 항암화학요법이 주가 되며 경우에 따라 방사선요법을 같이 시행하기도 합니다. 최근 위-식도 내시경을많이 시행하게 됨에 따라 아주 초기에 발견되는 식도암의 경우 점막에만 암이 국한되어 있다면 수술을 시행하지 않고 내시경을 이용하여 점막부위의 병변만을 절제하는 내시경적 점막 절제술이나 광선역학요법도 시행되고 있습니다.
· 초기 식도암 및 전암성 병변
점막에 국한된 초기 식도암이나 고도의 이형성(High grade dysplasia)을 동반한 바렛 식도의 경우 상당한 수의 환자들이 침윤성 암종으로 진행될 것이 예상되므로 수술적 절제를 함으로써 완치를 기대할 수 있습니다. 최근에 연구되고 있는 비교적 덜 침습적인 치료법으로는 광선역학요법(Photodynamictherapy, PDT)이나 초음파내시경 점막절제술 등이 있습니다.
· 수술적 절제 가능 식도암
1, 2기 및 3기의 일부 식도암의 경우에 환자의 신체적 상태에 특별한 문제가 없다면 수술적 절제를 시행하고 있습니다. 식도를 절제하는 방법으로는 개흉술을 통한 방법, 개흉술을 시행하지 않고 목부위의 절개와 가로막의 식도구멍을 통한 식도절제술 그리고 최근에는 흉강경을 이용한 식도절제술 등의 방법이 있습니다. 이중 현재까지는 개흉술을 통한 식도절제술 및 경부, 복부 및 종격동 림프절 제거술이 근치적 목적의 표준 수술방법이라고 할 수 있습니다. 식도를 절제한 후에는 입으로 음식을 섭취할 수 있게 하기 위해 식도-위 연결을 복원합니다.
경부 또는 상부 식도와 하부의 장을 연결하는 방법은 여러 가지가 있습니다. 이 중 가장 많이 쓰이는 방법은 위장을 이용하는 방법이며, 가슴속이나 목부위 절개를 통해 연결하는 것입니다. 그 외에 많이 사용되는 것은 대장을 이용하여 식도재건술을 시행하는 것입니다. 즉, 대장의 일부를 절제하여 목부위의 식도와 위 사이를 연결하는 것입니다. 하부 식도만 절제하는 경우에는 공장을 이용하여 연결하는 경우도 있으며, 인두부위의 암이거나 경부식도암의 경우에는 경부 식도만 절제한 후에 소장의 일종인 공장의 일부를 혈관과 함께 완전히 떼어내어 이식하는 자유 공장편을 이용하기도 합니다.

개흉술하에서 식도를 주위조직과 분리하는 모습

식도절제술시 같이 시행하는 림프절 제거술

위장을 흉강내로 끌어 올린 후 식도를 절제하고 식도-위 문합술을 시행하는 모습

대장을 이용하여 식도-대장-위장 문합술을 시행한 모습
수술적 절제가 가능한 식도암에서도 수술만을 시행하는 것이 아니라 수술 전후로 항암화학요법, 방사선요법, 항암방사선요법 등을 시행할 수 있습니다. 이와 같은 보조 항암화학요법 또는 방사선 요법의 성과는 현재 연구 중에 있습니다.
식도암의 수술은 80년대까지만 하더라도 수술에 의한 사망률이 13~30%에 이를 정도로 수술에 따르는 위험성이 큰 수술이었습니다.
그러나 최근의 수술 수기의 발달 및 수술 전후 환자관리의 발전으로 최근의 수술사망률은약 3% 전후로 낮아졌습니다. 식도암 수술후의 생존율은 보고하는 기관에 따라 차이가 있으나 20~50%의 5년 생존율을 보이고 있습니다.
식도암 수술후의 생존율
식도암 수술후의 생존율 Altorki et al.Akiyama et al.Simon et al.Bhansali et al.| No of patients (전체 환자수) |
80 | 261 | 625 | 90 |
| Lymphadenectomy (림프절 절제술) |
3FD | 3FD | 2FD | 3FD |
| Op. mortality (수술 후 사망률) |
5% | 5.2% | 16.5% | 2% |
| Op. morbidity (수술 후 재발율) |
46% | 31.1% | 34.4% | 74% |
| Vocal cord palsy (성대마비) |
9% | - | - | 74% |
| 5-yr survival (5년 생존율) |
51% | 55% | 31% | 39% |
| Pathology(ADC) (병리학) |
60% | 0 | 0 | 0 |
· 수술적 절제 불가능 식도암
원격 전이는 없으나 식도암이 식도주위의 중요한 기관에 침범을 하였거나 환자의 신체적 상태 때문에 수술을 할 수 없는 경우에는 방사선 치료, 항암화학요법, 항암방사선요법 등으로 치료하고 있습니다. 수술이 불가능한 식도암에 대해서 방사선 단독 요법은 국소조절은 어느 정도 가능하나 장기적인 생존율은 향상시키지는 못하는 것으로 알려져 있습니다. 항암화학요법 역시 항암화학요법 단독으로 50%정도의 환자에서 암이 줄어드는 효과를 보였으나 5년 생존율에는 변화가 없는 것으로 알려져 있습니다. 최근의 연구결과들에 따르면 항암방사선 복합요법이 단독요법보다 나은 것으로 보고되고 있으며, 비노렐빈(vinorelbine), 탁센(taxanes) 등의 신약이 기대를 모으고 있습니다.
· 고식적 치료
식도암의 고식적 치료란 식도암을 완전히 절제할 수 없거나 원격전이가 있어 근치적 목적의 수술이나 항암 방사선 복합요법 등의 치료를 할 수 없는 경우에 통증, 출혈, 식사 문제 등의 증상을 호전시키기 위해서 시행하는 치료를 말합니다.
· 고식적 수술
식도암에 대해 근치적 수술적 절제를 시도하였으나 대동맥, 기관 등의 중요 부위에 암의 침범이 있어 암의 일부를 남기거나 주변 림프절의 일부를 남기고 수술하게 되는 경우를 말합니다. 이런 경우에도 식도-위 연결을 복원하여 수술 후 식사를 가능하게 하는 것을 우회(bypass) 수술이라고 합니다. 고식적 수술 후에도 방사선 치료 등을 시행할 수 있습니다.
· 고식적 방사선 치료
식도암이 진행되면 뼈, 뇌, 폐 주변 기관등에 전이하게 됩니다. 뼈로 전이한 데 따른 통증, 뇌로 전이한 데 따른 신경증상, 림프절전이의 기관협착에 따른 숨막힘, 혈담 등을 개선하기 위해서 고식적 방사선치료를 시행할 수 있습니다. 이 때 방사선치료는 증상을 완화시키는데 도움이 됩니다. 증상이 개선되면 일단 목적을 달성하는 것이므로 근치치료와 같이 오랜 기간동안 치료를 하지는 않습니다. 치료는 대략 2~4주 정도 걸립니다.
· 식도내 삽관법
수술을 할 수 없는 식도암 환자에서 식도의 협착이 심해 음식물 섭취가 곤란한 경우, 실리콘으로 만들어진 인공식도나 금속제의 스텐트 등을 삽입하여 음식물을 섭취할 수 있도록 하는 방법입니다. 앞으로도 소재나 관을 삽입하는 방법 등을 더 개발할 필요가 있습니다만 삶의 질을 향상시키는데는 유용한 치료법으로서 자리잡고 있습니다.
치료의 부작용
1. 수술의 부작용
· 조기 합병증
앞서 말씀드린 바와 같이 식도암 수술은 복부, 흉부 때로는 경부에 대해 동시에 수술을 해야하며 수술부위가 심장이나 기관지, 폐 등에 가까이 있어 수술에 따른 위험성이 큰 수술입니다. 최근에는 수술 기법과 수술 후 환자관리의 발전에 따라 수술에 의한 사망률은 상당히 감소하여 약 3% 전후의 수술 사망률을 보이고 있습니다. 하지만 이는 다른 부위의 수술과 비교하면 여전히 높은 수치라 할 수 있습니다. 그리고 수술에 따라는 합병증도 많아서 표에서 보이는 바와 같이 약 30~70%의 환자에게서 수술 후에 여러 가지 합병증이 나타날 수 있습니다.
- 문합부위 누출(anastomotic leakage)
식도절제술 후 식도-위 문합술을 시행한 부위가 제대로 아물지 못하고 누출이 생기는 것을 말합니다. 대부분의 경우는 위장쪽에서 문합부위의 혈류가 원활하지 못하여서 발생합니다. 경부에서 문합을 한 경우에 누출 부위가 크지 않다면 누공이 형성되기를 기다리면서 저절로 아물기를 기대할 수 있습니다. 흉부내에서 누출이 있는 경우나 누출 부위가 클 때에는 경우에 따라 재수술을 시행해야 할 수도 있습니다.
- 되돌이후두신경마비
되돌이후두신경은 기관과 식도 사이를 지나가기 때문에 식도암 수술에서 림프절 절제술 중에 손상될 수 있습니다. 되돌이후두신경마비가 나타난 경우에는 목쉼, 사래들림 등의 증상이 있을 수 있습니다.
- 폐렴, 급성 호흡곤란 증후군
식도암 수술 후에 발생하는 폐 합병증은 매우 위험합니다. 대부분의 수술후 사망은 폐합병증과 연관되어 나타납니다. 폐렴이나 급성 호흡곤란 증후군이 발생하면 인공호흡기 치료 등과 같은 적극적인 치료가 필요합니다.
- 유미흉
식도암 수술시 림프절 절제를 하기 위해 흉관이라는 구조물을 절제해야 할 필요가 있습니다. 흉관은 우리 몸에서 림프액이 지나가는 관으로 흉관이 손상받았을 때에는 림프액이 새어 나올 수 있습니다. 상당부분의 유미흉은 수술후 금식으로 해결될 수 있으나 금식으로 치료되지 않을 경우에는 재수술이 필요할 수 있습니다.
- 다른 모든 수술과 마찬가지로 식도암 수술 후에도 수술부위 출혈이나 창상감염과 같은 합병증이 있을 수 있습니다.
· 만기 합병증
수술을 시행한 지 약 3개월이 지난 이후에 발생하는 합병증을 만기 합병증이라고 합니다. 식도암 수술후에 발생할 수 있는 만기 합병증으로는 협착이 있습니다. 협착은 장의 내경이 좁아지는 것으로 위-식도 연결부위의 협착과 유문부의 협착이 있을 수 있습니다. 그 외에도 덤핑 증후군이나 위저류와 같은 문제가 발생할 수도 있습니다.
2. 방사선요법의 부작용
방사선요법의 부작용은 주로 방사선이 조사된 부위에서 일어납니다. 그 때문에 치료하고 있는 부위에 따라 부작용이 다릅니다. 또 부작용에는 치료기간 중에 발생하는 것과 치료를 마치고 나서 수개월에서 수년이 지나 발생하는 것이 있습니다.
치료기간 중에 일어나는 부작용은, 경부를 치료한 경우 연하시의 이물감, 동통, 인두의 건조, 목이 쉬는 현상 등이며, 흉부를 치료한 경우 연하시의 이물감, 동통 등입니다. 그리고 복부를 치료한 경우에는 복부불쾌감, 구역질, 구토, 식욕저하, 설사 등의 증상이 나타날 가능성이 있습니다. 방사선을 조사한 부위의 피부에서는 햇볕에 탄 것과 같은 증상이 나타납니다. 이상에서 언급한 증상의 정도에는 개인차이가 있으며 거의 아무런 증상이 나타나지 않는 사람이 있는가 하면 심한 증상이 나타나는 사람도 있습니다.
증상이 심한 경우에는 증상을 완화시키기 위한 치료를 합니다만 일정한 시기가 되면 자연적으로 회복됩니다. 이 외에도 전신의 피곤함, 식욕저하 등과 같은 증상을 호소하는 분이 있지만 이들 증상도 회복됩니다. 혈액장애로서는 약간의 백혈구 감소가 나타나는 정도이며 크게 문제되는 일은 없습니다. 심장과 폐가 방사선조사부분에 포함되어 있으면, 치료가 종료된 후에 이들 장기가 영향을 받기도 합니다. 척수에 많은 양의 방사선이 조사되면 신경마비 증상이 나타나기도 하지만, 신경증상이 나타나지 않을 정도의 범위에서 방사선의 양을 설정하는 것이 보통입니다.
3. 항암제의 부작용
부작용에는 개인차이가 있지만 약물사용중의 구역질, 구토, 식욕부진은 거의 모든 사람에게서 어느 정도는 나타나는 증상입니다. 그러나 약물 사용 종료후 2~3일이 지나면 회복의 기미가 보이며, 1주일~10일 정도가 지나면 거의 식사도 할 수 있게 됩니다. 약물요법에서는 1주일간 투약을 한 후, 3주간 간격을 두고 다음 차례의 투여를 하는 것이 일반적입니다. 또 투여 전에는 매번 혈액, 신장기능 등을 점검해야 합니다. 특히 다른 약물요법과는 달리 시스플라틴투여는 신장장애를 일으킨다는 특징이 있습니다.
따라서 약물사용 중 3,000ml 정도의 대량 수액 투여를 실시하고 이뇨제를 병용하여 요배설이 충분히 이루어지도록 할 필요가 있습니다. 이에 따라 밤중에 자주 화장실에 가기 때문에 잠을 충분히 자지 못하곤 합니다. 하지만 소변이 나온다는 것은 부작용이 없다는 것이므로 걱정할 필요는 없습니다. 또 혈액독성, 즉 백혈구수와 혈소판수의 감소는 다른 항암제보다 적습니다. 그러나 어느 정도는 장애를 받기 때문에 감기에 걸리지 않도록 하는 것을 비롯해 세균에 감염되지 않도록 외출시에 마스크를 하는 등의 주의가 필요합니다.
재발 및 전이
이상에서 살펴본 바와 같이 현재로서는 수술적 치료가 주된 치료법이며, 그 치료성과(5년 생존율 : 수술 후 5년동안 생존하는 환자의 비율)는 최근 10년간 급속히 향상되어 거의 50%에 달하게 되었습니다. 그러나 다른 장기로 암이 확산되거나, 여러 림프절로 암이 전이된 환자의 경우에는 수술 후 1~2년 사이에 재발할 가능성이 높습니다.
치료현황
식도암의 치료는 수술적 치료가 중심적인 역할을 담당하고 있습니다. 그러나 수술방법이나 그 적응, 방사선요법과 항암화학요법의 위치를 어디에 두어야 하는지에 대해서 나라에 따라 상당히 다릅니다. 일본과 같은 동양권에서는 보다 광범위한 수술을 많이 하고 있습니다.
우리나라에서는 림프절 청소술을 충분히 하는 식도절제술이 주류(표준적 수술)입니다. 그리고 점막에까지에만 머무른 암의 경우에는 내시경에 의한 점막절제 (EMR)를 실시할 수도 있습니다. 또 수술이 가능하다고 판단된 경우에는 표준적수술에 방사선, 항암화학요법 등을 병용하는 복합적 치료를 실시합니다. 그리고 절제가 불가능한 경우와 수술에 따르는 위험이 큰 경우에는 방사선요법이나 항암화학요법, 또는 식도발거술 등을 선택하는 것이 일반적입니다.
식도암에 있어서는 조기발견이 치료성과를 향상시키는 열쇠라고 할 수 있습니다. 내시경검사를 꺼리지 마시고 조금이라도 증상이 나타나면 검사를 받아야 합니다. 검사를 받으면 식도암이 「불치의 암」이라는 이미지는 사라질 것입니다. 모든 암이 그렇지만 특히 식도암은 일단 진행되면 급격히 치료율이 떨어집니다. 그러므로 위, 대장만큼 빈도가 높지는 않더라도, 빨리 발견하기 위해서는 일상 생활에서 식도에 많은 신경을 쓰시는 것이 중요합니다.
중앙암등록본부에서 2022년에 발표한 자료에 따르면 2016년에서 2020년 사이 식도암의 5년 상대생존율은 남녀를 합해서 42.2%(남자 41.8%, 여자 45.6%)입니다.
식도암의 5년 상대생존율1)은 다음과 같습니다.
식도암의 5년 상대생존율 추이
식도암의 5년 상대생존율 추이식도암1993-1995년1996-2000년2001-2005년2006-2010년2011-2015년2016-2020년
| 남녀 전체 | 14.0% | 15.7% | 21.6% | 30.0% | 36.6% | 42.2% |
| 남 | 13.0% | 14.7% | 20.8% | 29.4% | 36.2% | 41.8% |
| 여 | 25.0% | 25.9% | 29.8% | 37.3% | 39.6% | 45.6% |
<보건복지부 중앙암등록본부, 2022년 12월 발표 자료>
한편, 미국국립암연구소에서는 SEER(Surveillance Epidemiology and End Results) 프로그램을 통해 "요약병기(Summary Stage)"라는 병기 분류를 개발했습니다. 요약병기는 암이 그 원발 부위로부터 얼마나 퍼져있는지를 범주화2) 한 기본적인 분류 방법으로 그 병기 분류에 따른 5년 상대생존율은 다음과 같습니다.
식도암의 요약병기별 5년(2016-2020년) 상대생존율 추이
식도암의 요약병기별 5년(2016-2020년) 상대생존율 추이식도암국한(Localized)국소(Regional)원격(Distant)모름(Unknown)
| 남녀 전체 | 71.2% | 35.0% | 7.3% | 28.5% |
| 남 | 71.5% | 34.5% | 7.5% | 27.7% |
| 여 | 68.9% | 39.7% | 0.0% | 33.6% |
<보건복지부 중앙암등록본부, 2022년 12월 발표 자료>
일상생활 가이드
암의 치료를 앞둔 환자에게 필요한 사전 준비방법에서부터 신체와 마음을 다지고 관리하는 방법, 암질환 자체와 치료과정으로 빈번히 발생하는 여러 증상들에 대한 생활 속 대처방법, 보완대체요법에 대한 바른 접근방법까지 암환자로 살아가기 위한 방법들에 대해 알아보겠습니다.
식생활 가이드
식도는 소화기관의 일부로 음식물을 위로 보내주는 통로의 역할도 하고 위와 만나는 부위에서는 음식물이 다시 넘어오지 않도록 하는 기능도 가지고 있습니다. 그래서 정상적인 경우에는 음식을 삼킨 후에 눕거나 심지어 거꾸로 서있어도 음식이 넘어오지 않는 것입니다. 하지만 수술을 하여 식도를 잘라내고 뱃속에 있던 위를 식도가 있던 자리에 가져다 붙여놓고 나면 달라지는 것들이 있습니다.
· 기본적인 식사방법
먼저 위가 가지고 있던 기능 즉, 음식물을 잘게 부수고 암죽처럼 만들어주는 기능이 없어지고 저절로 음식을 내려보내는 기능도 떨어집니다. 수술 전에는 음식을 씹지 않고 삼켜도 위가 스스로 잘게 부숴 내려 보냈지만 수술 후에는 음식을 여러번 씹어서 죽처럼 만들어서 삼켜야 합니다. 수술 전에는 음식을 먹고 바로 누워서 쉬어도 저절로 음식이 소화 가 되고 장으로 내려갔지만 수술 후에는 그렇게 누워 있으면 먹은 음식이 아래쪽 장으로 내려가지 않고 전부 입으로 넘어 옵니다. 따라서 음식을 먹고 나면 바로 걷기 운동을 해서 삼킨 음식을 장으로 보내야 합니다.
또 음식이나 소화액이 넘어 오지 않도록 해주던 괄약근도 잘려 나갔기 때문에 걷기 운동을 해서 먹은 음식을 아래로 다 내려보냈다 하더라도 하늘을 보고 똑바로 누우면 음식이 입으로 넘어와서 사래가 들면서 폐렴이 생길 수 있습니다. 따라서 누울 때는 항상 어깨가 배꼽보다 높은 자세로 누워서 쉬거나 잠을 자야 합니다.
자기 2~3시간 전에는 아무것도 먹지 않는 것이 좋습니다. 잠든 동안에 남은 음식물이나 소화액이 넘어와서 속이 쓰리거나 폐로 들어가 폐렴이 생기는 경우가 있습 니다.
· 주의해야 될 음식물 및 식사방법
모든 음식물은 소화되기 쉽게 가능한 한 익히고 부드럽게 하여서 드십시오. 고기는 갈아서 먹고, 생선 및 야채는 부드러운 것을 선택하여 익혀서 드십시오. 맵고 짠 음식은 피하는 게 좋습니다.
고단백 음식(고기, 생선, 두부 등 콩 제품. 계란 등)과 채소를 골고루 드십시오.
무기질, 비타민이 풍부한 과일, 야채 등도 수술 후 2주일부터는 충분히 씹어서 드셔도 좋습니다. 종합 비타민을 1일 1정씩 복용하십시오.
커피, 콜라, 사이다 등의 탄산음료는 약 6개월간 피하십시오.
식사 후 약 30분간은 반드시 걷기 운동을 하십시오.
술, 민간요법 약물 그리고 한약 등은 절대 삼가하여 주십시오.
평소 우유가 맞지 않았던 분은 우유 및 유제품을 삼가 하여 주십시오.
차가운 음식은 피하시고 모든 음식은 상온으로 하여 드십시오.
과식을 할 경우 빈맥, 호흡곤란 등의 증상이 유발될 수 있으므로 수술 후 2개월까지는 조금씩 자주 드셔야 합니다.
· 음식물을 삼킬 때 목에서 음식물이 걸리는 경우가 있으면서, 이 증상이 점점 심해지는 경우가 있습니다. 이는 위장을 목 부위의 식도에 붙인 장소에 군살이 돋아서 입구가 좁아졌기 때문이며 이런 증세가 있으면 바로 수술하신 병원을 방문하는 것이 좋습니다.
영양은 암치료에 있어서 중요한 부분입니다. 치료 전, 치료기간 동안, 그리고 치료 후 올바른 음식섭취는 기분을 좋게 하고 강하게 만들어 줄 것입니다. 따라서 환자뿐만 아니라 가족들이 암 치료를 잘 받기 위한 준비를 하고 치료에 다른 부작용을 잘 극복할 수 있도록 어떻게 먹을 것인지 알아보겠습니다.
마지막 수정일
- 2023. 03. 02.
관련이미지
출처: 삼성서울병원 건강칼럼
출처
'의학,바이오' 카테고리의 다른 글
| 연하검사(VFSS) 이렇게 합니다 (0) | 2025.03.28 |
|---|---|
| [연하장애 재활운동] / 삼킴장애 (0) | 2025.03.28 |
| 세계 최고 병원 100위’에 韓 병원 6곳 (0) | 2025.02.28 |
| 심폐소생술 [나무위키] (6) | 2024.11.10 |
| 심장마비 전조증상과 예방, 골든타임 (4시간) (2) | 2024.11.10 |